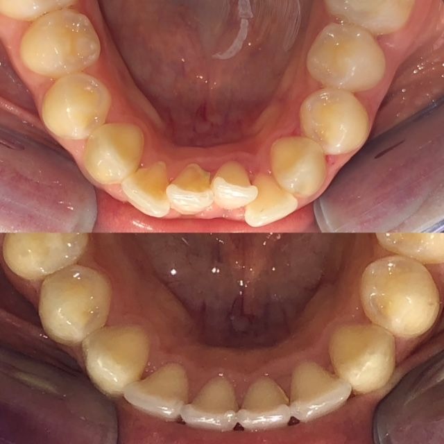
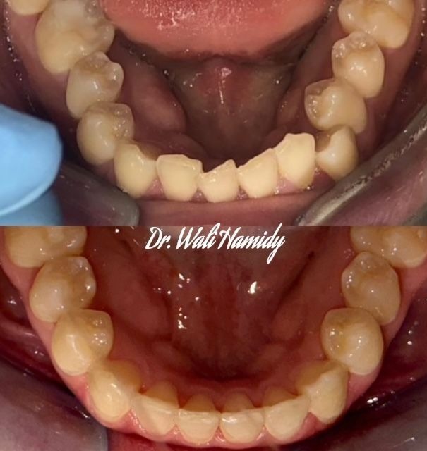
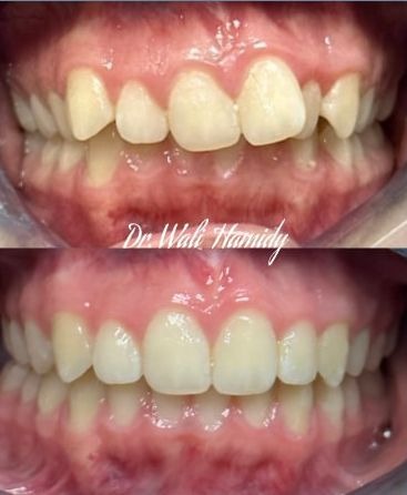
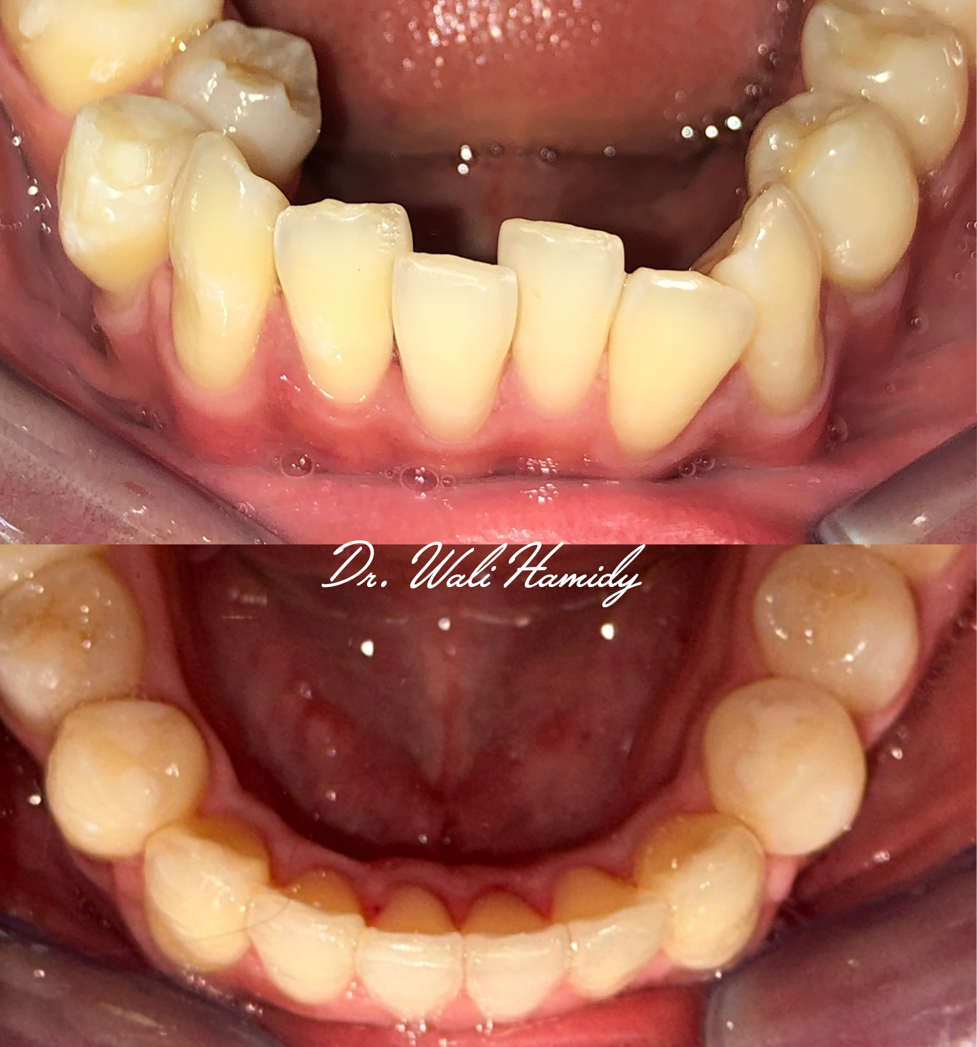
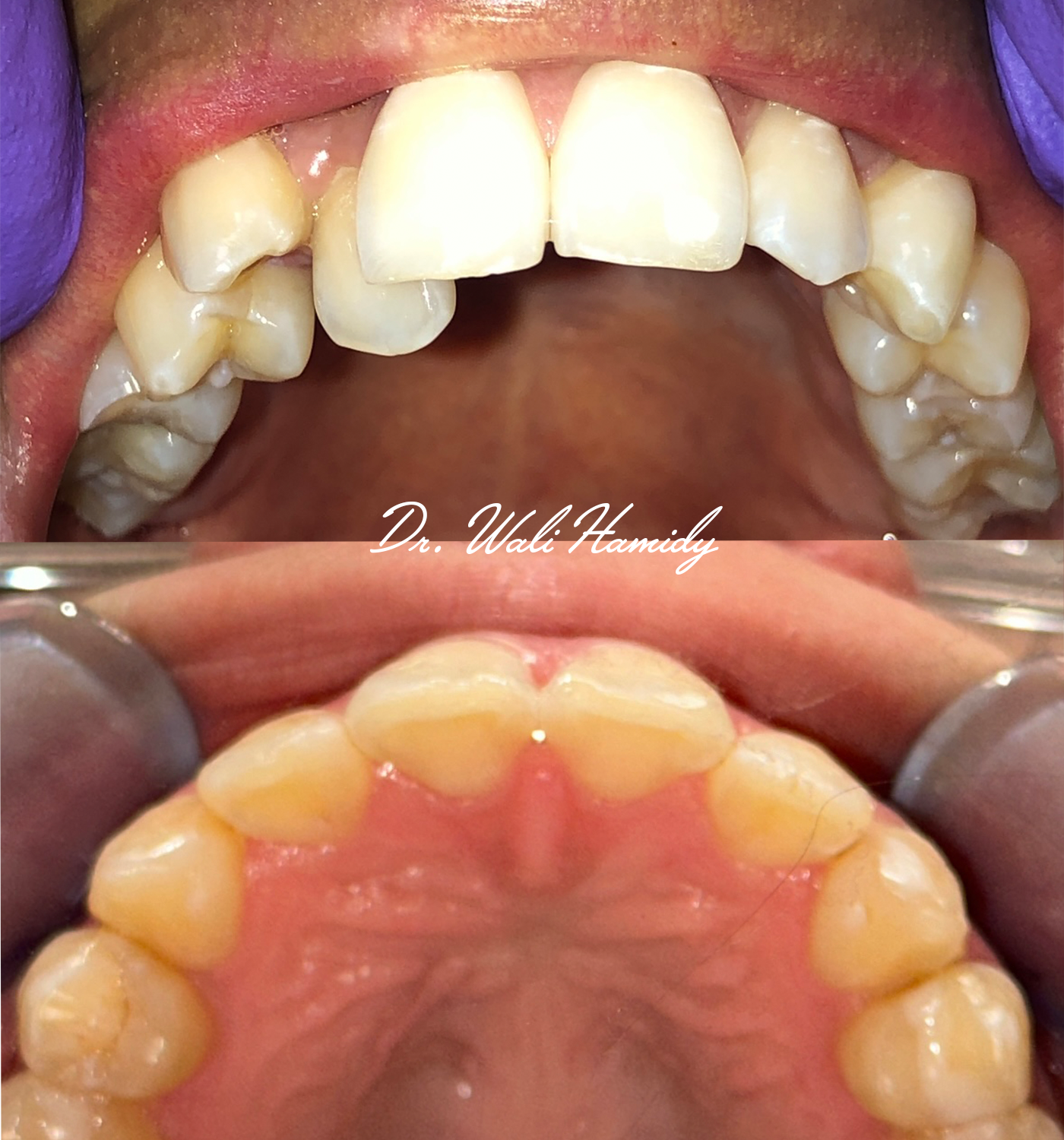
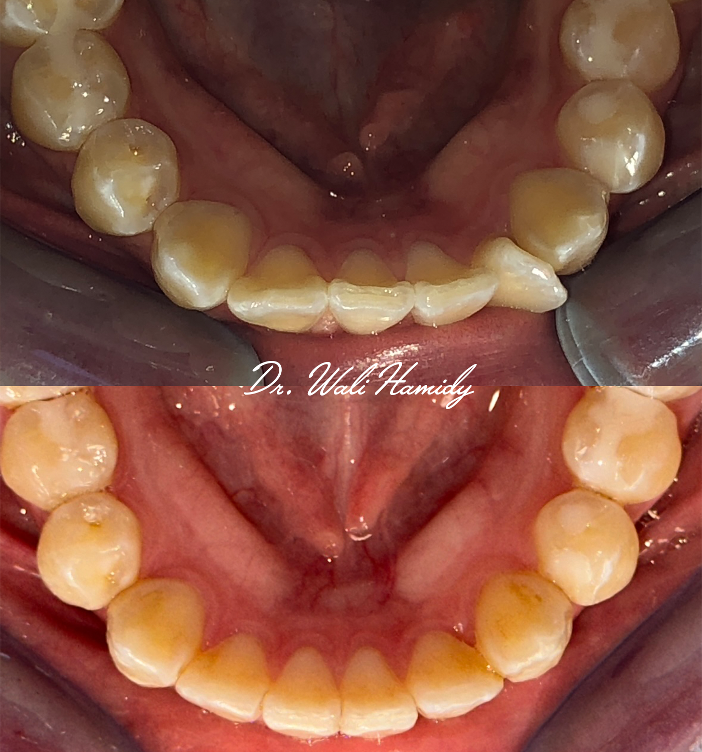
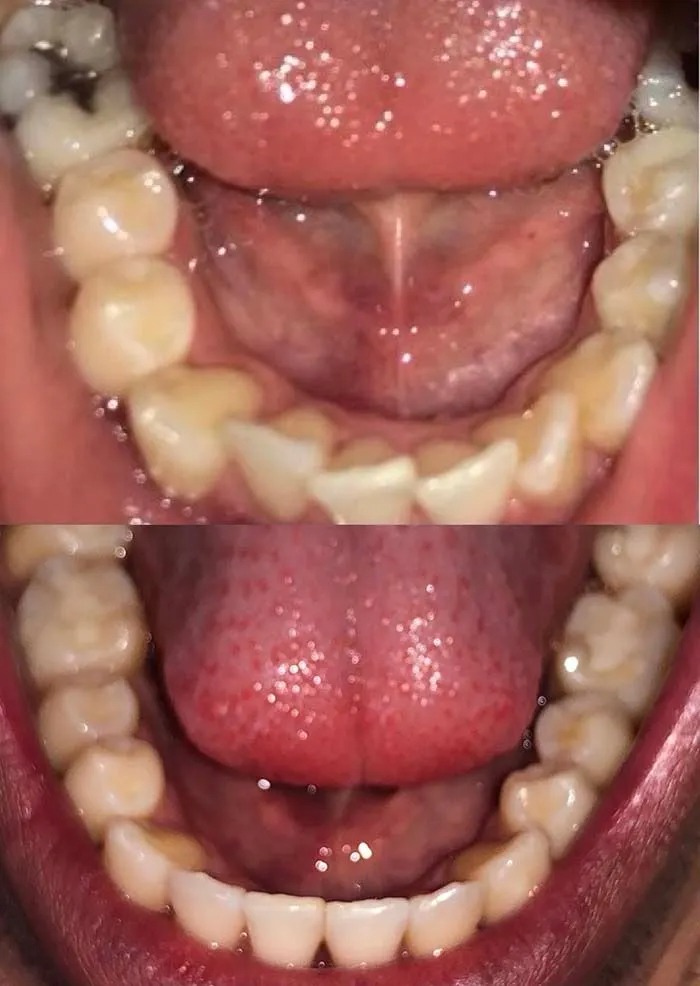
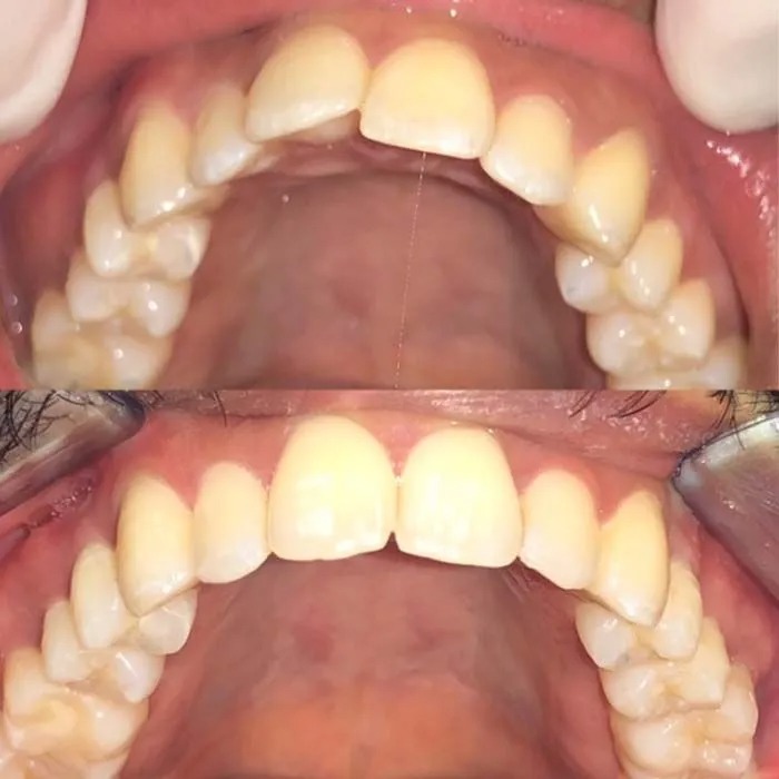
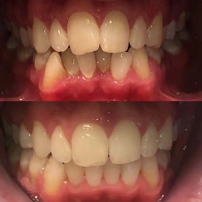
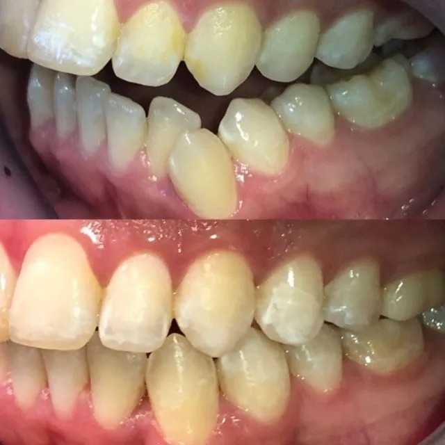
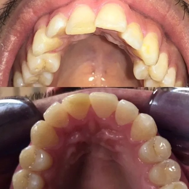
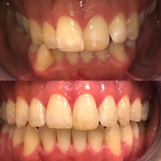
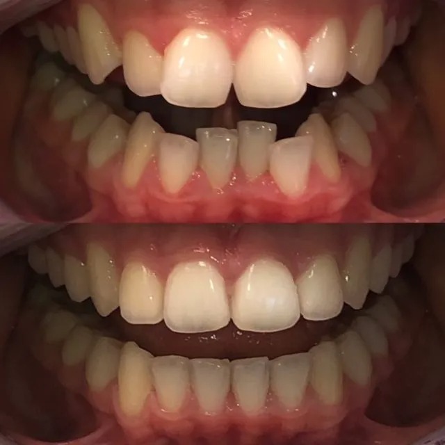
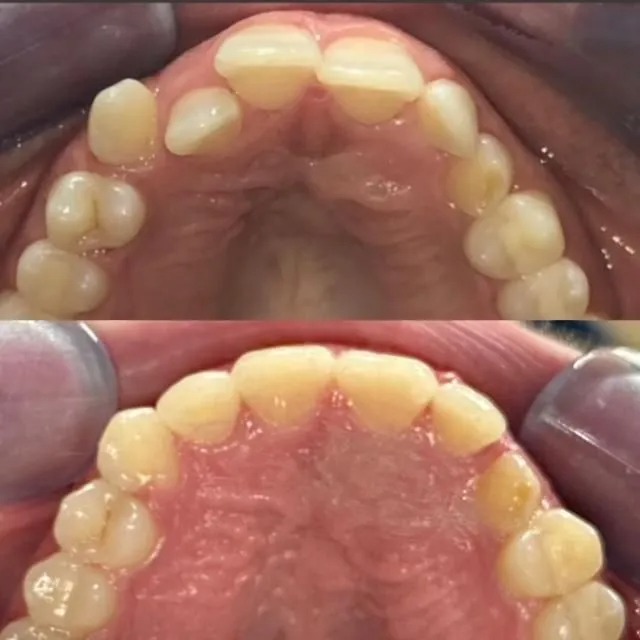
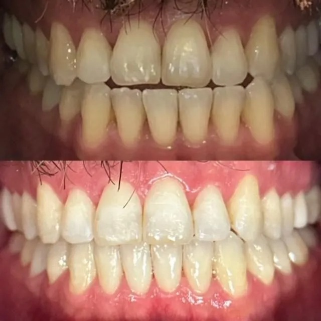
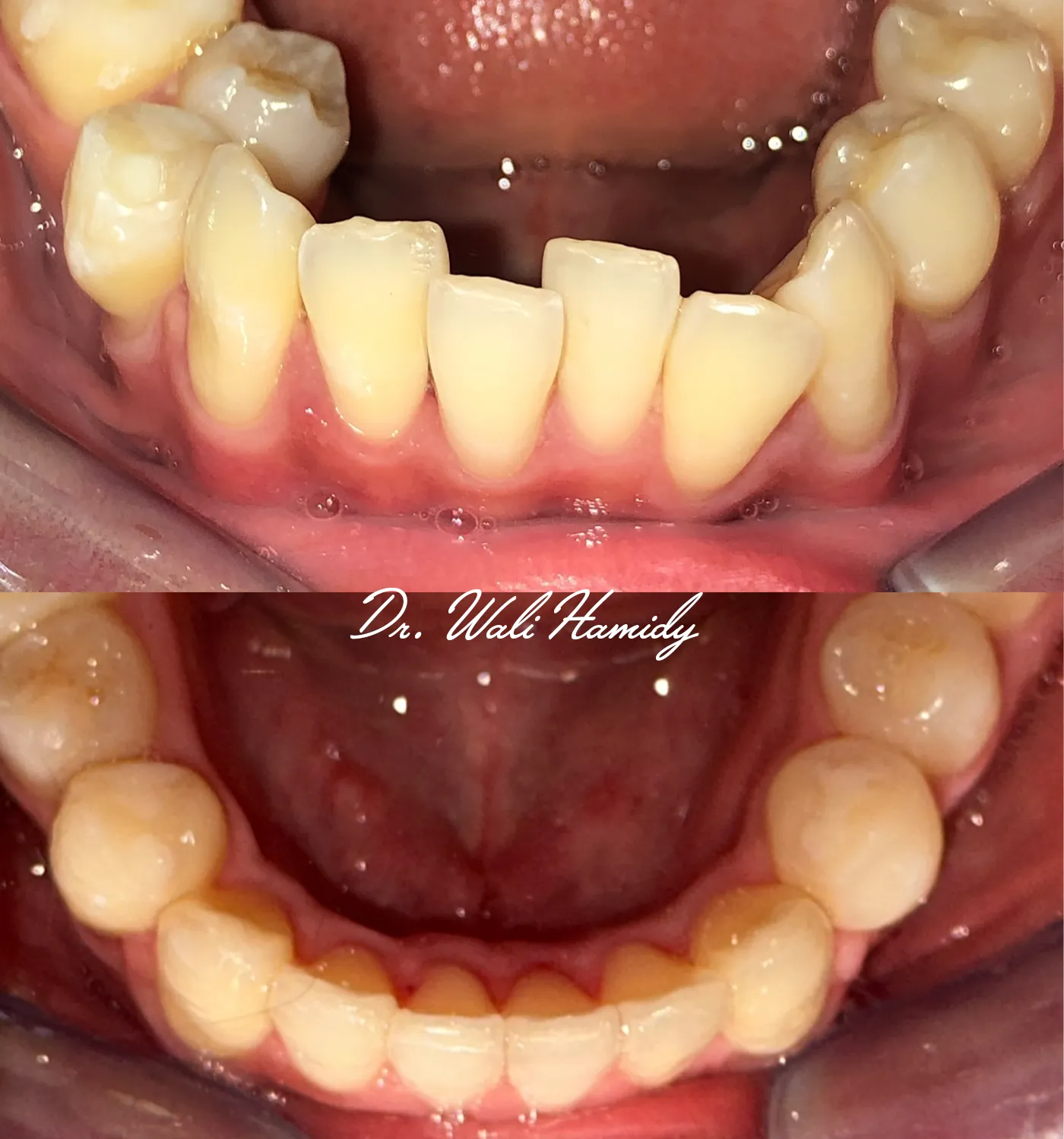
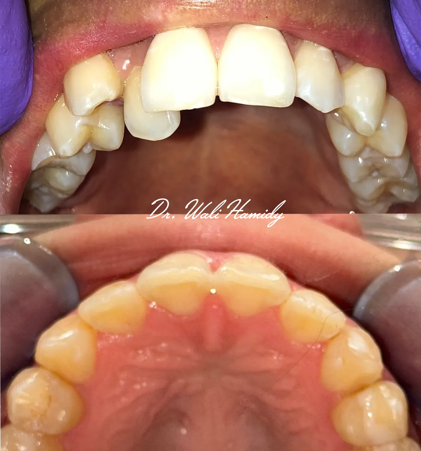
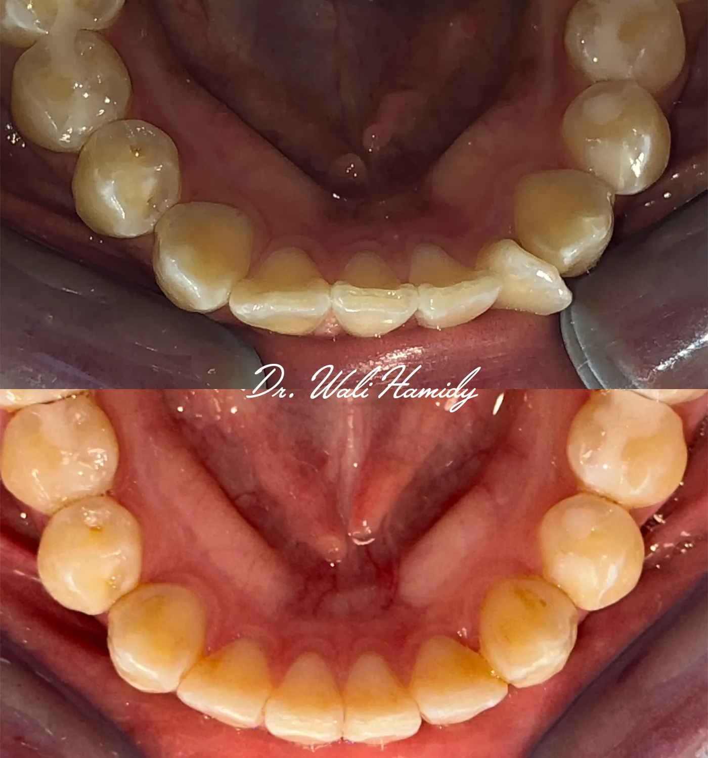
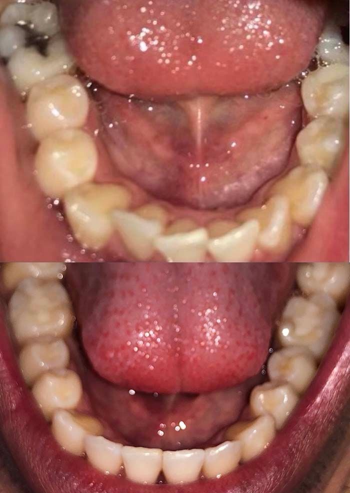
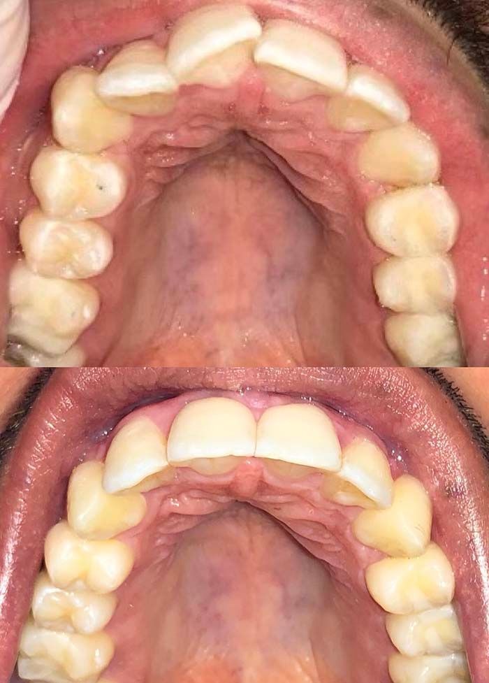
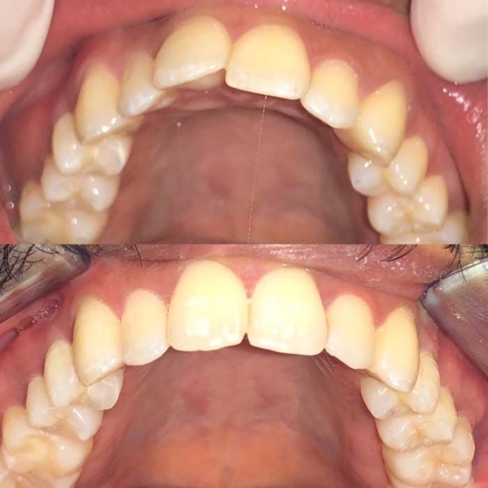
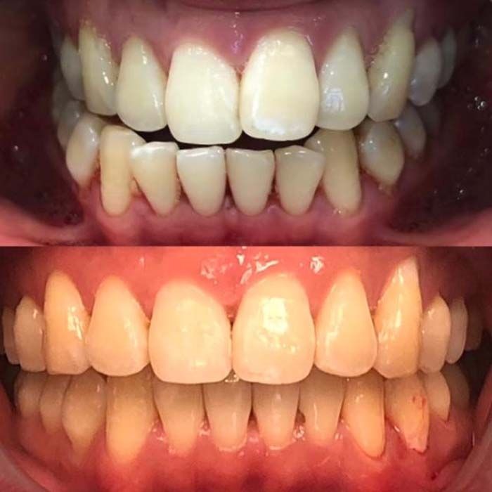
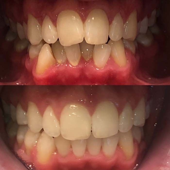
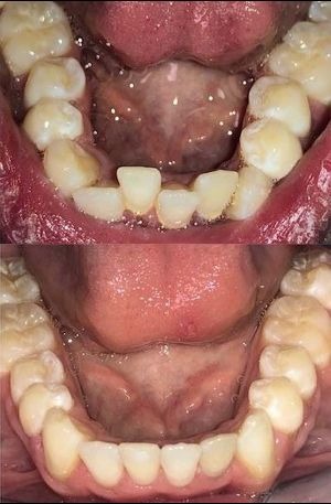
Check out our Invisalign® treatment gallery to see how this orthodontic service can straighten your teeth and improve your smile. Contact La Jolla Dental Image at 858-202-0481 today to make an appointment with our dentist, Dr. Wali Hamidy, and learn more about Invisalign clear aligners in La Jolla, California.




































































-5f9d1d2e-1920w.png)


























-5f9d1d2e.png)































